Разделы презентаций


Шинирование зубов современными волоконными материалами

Содержание

Воспалительные заболевания пародонта по распространенности занимают 2 место после кариеса у лиц до 30 лет, а среди лиц старше 30 лет выходят на 1 место, достигая 90 %. Совместное действие пародонтита

Слайды и текст этой презентации

Слайд 1Выполнила: студентка 507 группы Дзодзиева Элла Тамерлановна

Шинирование зубов

современными волоконными материалами

Выполнила: студентка 507 группы  Дзодзиева Элла Тамерлановна   Шинирование зубов современными волоконными материалами

Слайд 2
Воспалительные заболевания пародонта по распространенности занимают 2 место после кариеса

у лиц до 30 лет, а среди лиц старше 30

лет выходят на 1 место, достигая 90 %.

Совместное действие пародонтита и травматической окклюзии усиливает друг друга по типу синдрома взаимного отягощения.

Основным методом устранения травматической окклюзии является шинирование зубов.

ВВЕДЕНИЕ

Воспалительные заболевания пародонта по распространенности занимают 2 место после кариеса у лиц до 30 лет, а среди

Слайд 3Шинирование — комплекс мероприятий, направленных на соединение патологически подвижных зубов

в единый блок, перераспределяя тем самым жевательное давление на большую

площадь.

Шинирование — комплекс мероприятий, направленных на соединение патологически подвижных зубов в единый блок, перераспределяя тем самым жевательное

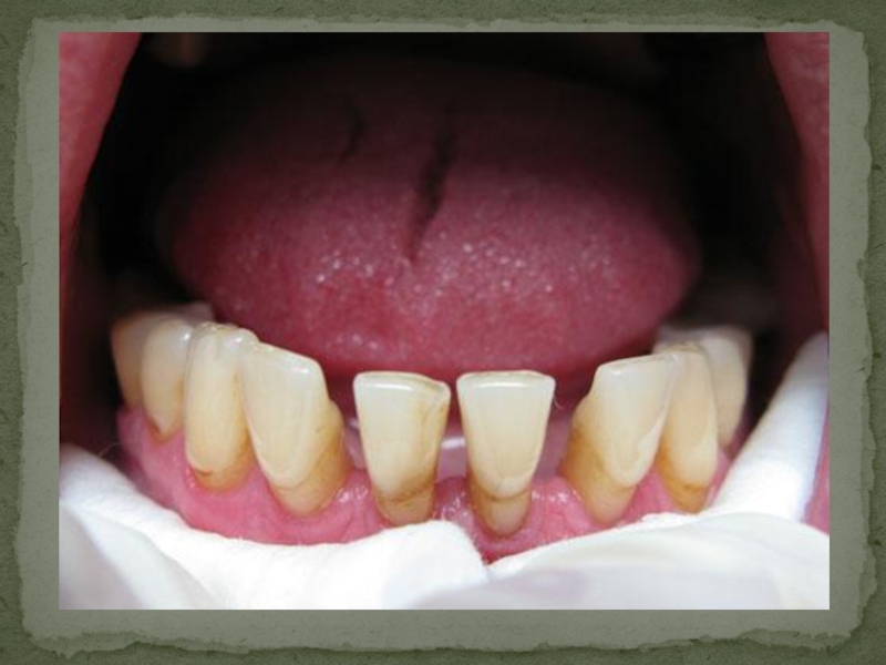
Слайд 6Сильное нарушение зубного ряда и смещение зубов;
Нестандартное положение зубов;
Заболевания десен,

в особенности пародонтит;
Кровоточивость десен;
Быстрое скопление зубных отложений вокруг корня зуба;
Ярко

выраженные десневые карманы;
Обнаженные корни зубов;


Показания к шинированию:

Сильное нарушение зубного ряда и смещение зубов;Нестандартное положение зубов;Заболевания десен, в особенности пародонтит;Кровоточивость десен;Быстрое скопление зубных отложений

Слайд 7Самые распространенные материалы для шинирования – это стекловолокно, полиэтилен и

шелк. Главное преимущество этих материалов – это их незаметность на

зубах. Также нередко применяется арамидная нить, отличающаяся особой прочностью.
Самые распространенные материалы для шинирования – это стекловолокно, полиэтилен и шелк. Главное преимущество этих материалов – это

Слайд 8

Шины
Съемные

Несъемные

Слайд 9Съемные

Съемные

Слайд 10ШИНИРОВАНИЕ ФРОНТАЛЬНОЙ ГРУППЫ ЗУБОВ

ШИНИРОВАНИЕ ФРОНТАЛЬНОЙ ГРУППЫ ЗУБОВ

Слайд 11ШИНИРОВАНИЕ БОКОВЫХ ЗУБОВ

ШИНИРОВАНИЕ БОКОВЫХ ЗУБОВ

Слайд 14Максимально ограничивать подвижность зубов во всех направлениях
Обладать достаточной жесткостью
Не

травмировать окружающие ткани
Не блокировать движения нижней челюсти
Не препятствовать другим

видам лечения
Не мешать гигиене полости рта
Не нарушать внешний вид пациента, речь, прием пищи
Минимальная инвазивность для твердых тканей зуба

Требования к шинам

Максимально ограничивать подвижность зубов во всех направлениях Обладать достаточной жесткостьюНе травмировать окружающие ткани Не блокировать движения нижней

Слайд 15Кольцевая шина - представляет собой набор спаянных металлических колец, которые,

фиксируются на зубы и обеспечивают их прочную фиксацию.
Колпачковая шина -

набор спаянных между собой колпачков, надевающихся на зубы, покрывающих его режущий край и оральную поверхность.
Коронковая и полукоронковая шина
Шина Мамлока - Состоит из пластины, плотно прилегающей к оральной поверхности и режущему краю передних зубов. Пластинка фиксируется на штифтах.

Несъемные шины

Кольцевая шина - представляет собой набор спаянных металлических колец, которые, фиксируются на зубы и обеспечивают их прочную

Слайд 16Шина из ортодонтической проволоки (d = 0.36мм)

Шина из ортодонтической проволоки (d = 0.36мм)

Слайд 17Вантовое шинирование зубов полиамидной нитью

Вантовое шинирование зубов полиамидной нитью

Слайд 18 Шина из стекловолоконной ленты (GlasSpan, FiberSplint)

Шина из стекловолоконной ленты  (GlasSpan, FiberSplint)

Слайд 19Шина из полиэтиленового шнура (Ribbond, Connect)

Шина из полиэтиленового шнура  (Ribbond, Connect)

Слайд 20Шина-каппа





Съемные шины

Шина-каппаСъемные шины

Слайд 21Бюгель с шинирующим многозвеньевым кламмером

Бюгель с шинирующим многозвеньевым кламмером

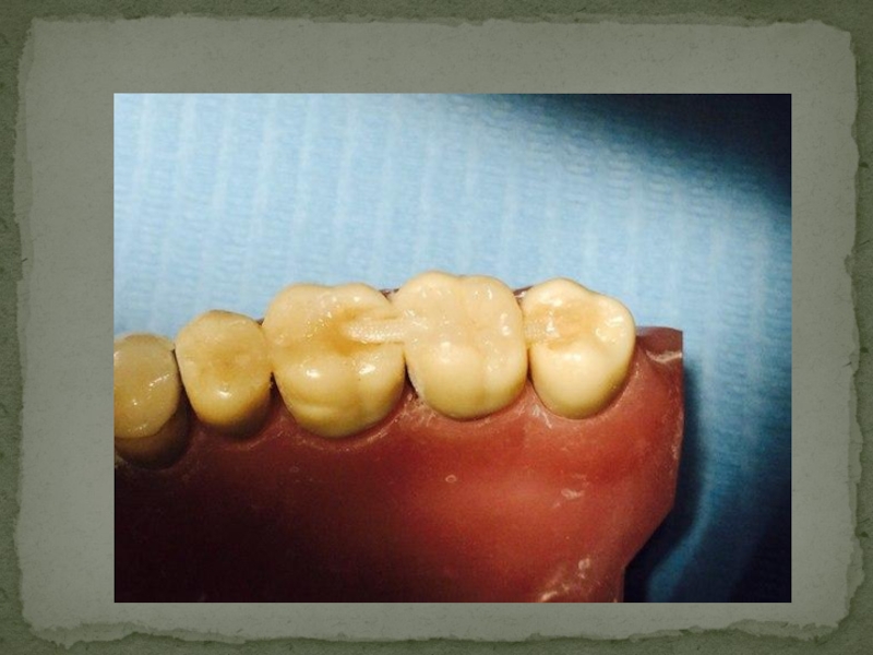
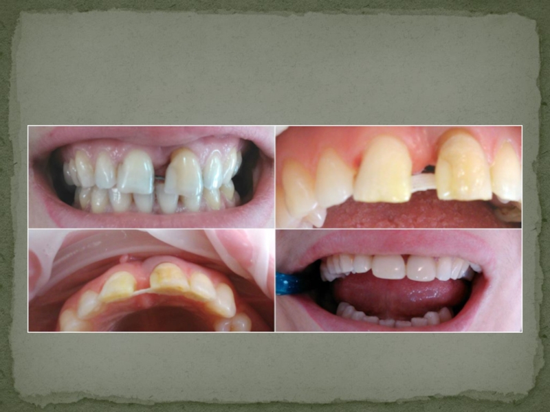
Слайд 22Пример шинирования зубов при помощи стекловолоконной ленты

Пример шинирования зубов при помощи стекловолоконной ленты

Слайд 231. После проведения адекватного обезболивания и изоляции рабочего поля производится

препарирование зубов на уровне середины коронки с лингвальной поверхности на

глубину 1.0 - 1.5 мм.

Этапы :

1. После проведения адекватного обезболивания и изоляции рабочего поля производится препарирование зубов на уровне середины коронки с

Слайд 242.Для предотвращения попадания материала в межзубные промежутки обязательно устанавливаются клинья.

2.Для предотвращения попадания материала в межзубные промежутки обязательно устанавливаются клинья.

Слайд 253. Производится примерка и при необходимости коррекция длины стекловолоконной ленты.



3. Производится примерка и при необходимости коррекция длины стекловолоконной ленты.

Слайд 264. Проводится кондиционирование эмали 37% ортофосфорной кислотой и нанесение адгезива

с последующей фотополимеризацией.

4. Проводится кондиционирование эмали 37% ортофосфорной кислотой и нанесение адгезива с последующей фотополимеризацией.

Слайд 275. Внесение низкомодульного композита для лучшей адаптации ленты.

5. Внесение низкомодульного композита для лучшей адаптации ленты.

Слайд 28
6. Адаптация и фиксация стекловолоконной ленты.

6. Адаптация и фиксация стекловолоконной ленты.

Слайд 29
7. Покрытие микронаполненным композитом, финишная обработка.

7. Покрытие микронаполненным композитом, финишная обработка.

Слайд 31Шинирование - это не слишком сложная процедура, однако она может

вызвать некоторые осложнения:

Обострение заболеваний зубов, в основном из-за ошибок стоматолога;
Пульпит,

если бороздка сделана слишком близко к пульпе или даже вскрывает пульповую камеру;
Повышение чувствительности зубов;
Перелом шины из-за ее деформации или перегрева при изготовлении;
Возникновение заболеваний зубов под шиной, если края конструкции плохо отполированы.

Осложнения после шинирования зубов

Шинирование - это не слишком сложная процедура, однако она может вызвать некоторые осложнения:Обострение заболеваний зубов, в основном

Слайд 32Спасибо за внимание!!!!

Спасибо за внимание!!!!

Слайд 33Список литературы:

https://stoma.guru/lechenie/chto-eto-takoe-shinirovanie-zubov-tehnologiya-i-materialy.html

http://vashyzuby.ru/bolezni-zubov/chto-eto-takoe-shinirovanie-zubov.html

http://zubast.ru/zuby/do-i-posle-shinirovaniya-foto.html

Список литературы:https://stoma.guru/lechenie/chto-eto-takoe-shinirovanie-zubov-tehnologiya-i-materialy.htmlhttp://vashyzuby.ru/bolezni-zubov/chto-eto-takoe-shinirovanie-zubov.htmlhttp://zubast.ru/zuby/do-i-posle-shinirovaniya-foto.html

Обратная связь

Если не удалось найти и скачать доклад-презентацию, Вы можете заказать его на нашем сайте. Мы постараемся найти нужный Вам материал и отправим по электронной почте. Не стесняйтесь обращаться к нам, если у вас возникли вопросы или пожелания:

Email: Нажмите что бы посмотреть 

Что такое TheSlide.ru?

Это сайт презентации, докладов, проектов в PowerPoint. Здесь удобно  хранить и делиться своими презентациями с другими пользователями.


Для правообладателей

Яндекс.Метрика