Разделы презентаций


Невусы и меланомы

Содержание

Морфогенез невусовэпидермальный (пограничный)2. сложный3. внутридермальный4. сложный

Слайды и текст этой презентации

Слайд 1Невусы и меланомы

Невусы и меланомы

Слайд 2Морфогенез невусов
эпидермальный (пограничный)
2. сложный
3. внутридермальный
4. сложный

Морфогенез невусовэпидермальный (пограничный)2. сложный3. внутридермальный4. сложный

Слайд 3Классификация меланоцитарных невусов
Эпидермальные невусы
А.
Интраэпидермальный (пограничный)
Интрадермальный
Сложный

Б. Особые типы
Веретеноклеточный, эпителиоидноклеточный –

ювенильная меланома (невус Спитц)
Баллонообразный
Гало-невус

Классификация меланоцитарных невусовЭпидермальные невусыА.Интраэпидермальный (пограничный)ИнтрадермальныйСложныйБ.  Особые типыВеретеноклеточный, эпителиоидноклеточный – ювенильная меланома (невус Спитц)БаллонообразныйГало-невус

Слайд 4Классификация меланоцитарных невусов
Дермальные невусы
Монгольское пятно
Невус Ото
Невус Ито
Голубой невус
Смешанные эпидермального и

дермального генеза (комбинированные)
Невусы – предшественники меланом
Врожденный (в том числе гигантский)
Диспластический
Рецидивирующий

и глубоко пенетрирующий
Предраковые меланоцитарные поражения
Предраковый меланоз Дюбрейля, меланотическое
пятно Хатчинсона
Классификация меланоцитарных невусовДермальные невусыМонгольское пятноНевус ОтоНевус ИтоГолубой невусСмешанные эпидермального и дермального генеза (комбинированные)Невусы – предшественники меланомВрожденный (в

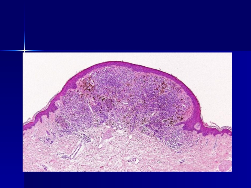
Слайд 12Невус Шпитц

Невус Шпитц

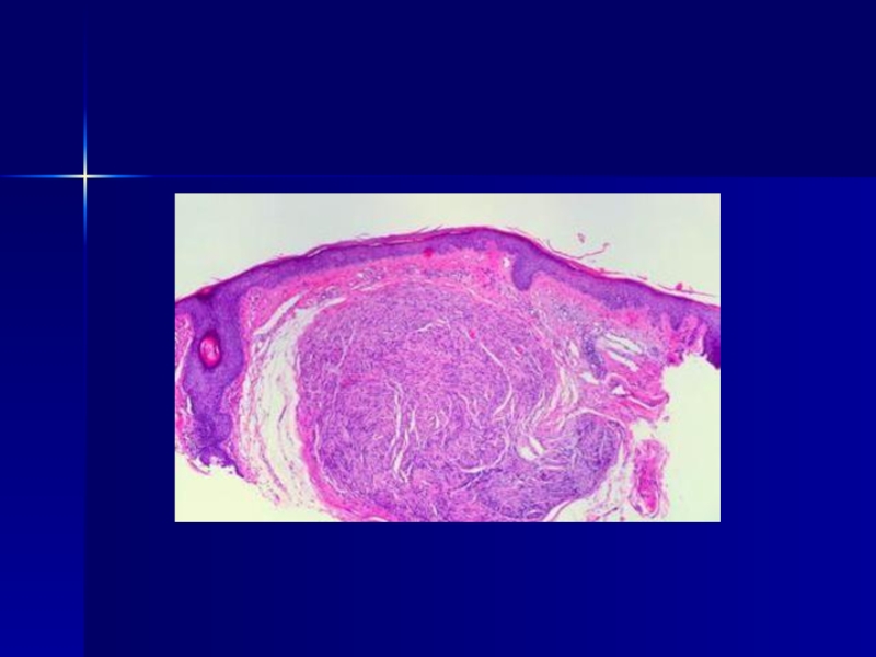
Слайд 13Невус Шпитц (ювенильный невус)

Невус Шпитц (ювенильный невус)

Слайд 14Типы роста меланом
горизонтальный
2. вертикальный
3. смешанный

Типы роста меланомгоризонтальный2. вертикальный3. смешанный

Слайд 15Классификация меланом
Эпидермальные
Дермальные

Клинико-морфологические формы
Поверхностно распространяющаяся (80%)
Узловая (15%)
Злокачественная лентиго-меланома типа злокачественного лентиго

(5-10%)
Акрально –лентигелезная (10%)
Малигнизированный голубой невус
Неклассифицируемые формы

Классификация меланомЭпидермальныеДермальныеКлинико-морфологические формыПоверхностно распространяющаяся (80%)Узловая (15%)Злокачественная лентиго-меланома типа злокачественного лентиго (5-10%)Акрально –лентигелезная (10%)Малигнизированный голубой невусНеклассифицируемые формы

Слайд 16Классификация меланом
Особые формы
Десмопластическая
Нейротропная
Баллонная
Минимально отклоненная форма
Узлы менее 0,75 мм с ранней

стадией вертикального роста
Близкие по гистологии невусу Спитц
Близкие по гистологии к

гало-невусу
Пролиферация на фоне врожденного невуса
Пролиферация на фоне внутридермального компонента невуса
Пигментированные веретеноклеточные поражения ретикулярного слоя дермы

Классификация меланомОсобые формыДесмопластическаяНейротропнаяБаллоннаяМинимально отклоненная формаУзлы менее 0,75 мм с ранней стадией вертикального ростаБлизкие по гистологии невусу СпитцБлизкие

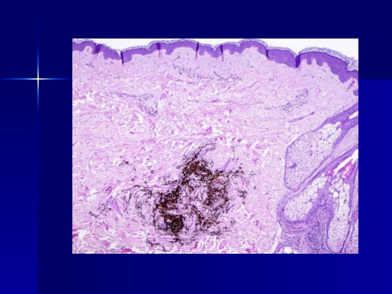
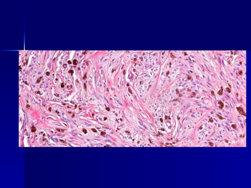
Слайд 17Уровень по Кларку
В пределах эпидермиса
Верхний отдел сосочкового слоя
Сосочковый слой до

придатков
Сетчатый слой за их пределами
Жировая клетчатка

Уровень по КларкуВ пределах эпидермисаВерхний отдел сосочкового слояСосочковый слой до придатковСетчатый слой за их пределамиЖировая клетчатка

Обратная связь

Если не удалось найти и скачать доклад-презентацию, Вы можете заказать его на нашем сайте. Мы постараемся найти нужный Вам материал и отправим по электронной почте. Не стесняйтесь обращаться к нам, если у вас возникли вопросы или пожелания:

Email: Нажмите что бы посмотреть 

Что такое TheSlide.ru?

Это сайт презентации, докладов, проектов в PowerPoint. Здесь удобно  хранить и делиться своими презентациями с другими пользователями.


Для правообладателей

Яндекс.Метрика