Разделы презентаций


Орындаған: Жұмманов А.Ж Тексерген: Алдияров С.А. Марат Оспанов атындағы Батыс

Содержание

Көкірекаралык мушелері закымдануларындагы визуалды зерттеу әдістері1. Негізгі:Рентгенография2. Қосымша:ФлюорографияБронхография (инвазивті әдіс)Сызықты томографияКомпьютерлі томографияРадионуклеидті әдіс (вентиляция, перфузия және өкпелік капиллярлық қан жағдайына баға береді)Ультрадыбысты әдіс (плевра қуысындағы өзгерістерді анықтауға)

Слайды и текст этой презентации

Слайд 1
Орындаған: Жұмманов А.Ж
Тексерген: Алдияров С.А.
Марат Оспанов атындағы Батыс

Қазақстан Мемлекеттік Медицина Университеті
Көкірекаралык мушелері закымдануларындагы визуалды зерттеу әдістері

Орындаған: Жұмманов А.Ж Тексерген: Алдияров С.А.Марат Оспанов атындағы Батыс Қазақстан Мемлекеттік Медицина УниверситетіКөкірекаралык мушелері закымдануларындагы визуалды

Слайд 2Көкірекаралык мушелері закымдануларындагы визуалды зерттеу әдістері
1. Негізгі:
Рентгенография
2. Қосымша:
Флюорография
Бронхография (инвазивті әдіс)
Сызықты

томография
Компьютерлі томография
Радионуклеидті әдіс (вентиляция, перфузия және өкпелік капиллярлық қан жағдайына

баға береді)
Ультрадыбысты әдіс (плевра қуысындағы өзгерістерді анықтауға)
Көкірекаралык мушелері закымдануларындагы визуалды зерттеу әдістері1. Негізгі:Рентгенография2. Қосымша:ФлюорографияБронхография (инвазивті әдіс)Сызықты томографияКомпьютерлі томографияРадионуклеидті әдіс (вентиляция, перфузия және өкпелік

Слайд 3Рентгенография

Рентгенография

Слайд 4Кеуде қуысының обзорлы рентгенографиясы өкпенің негізгі және ең жиі орындалатын

R-зерттеу әдісі. Науқас тік (вертикальды) және терең тыныс алу жағдайында,

екі стандартты алдыңғы тура және бүйірлік проекцияда жүргізіледі.
Кеуде қуысының обзорлы рентгенографиясы өкпенің негізгі және ең жиі орындалатын R-зерттеу әдісі. Науқас тік (вертикальды) және терең

Слайд 5Флюорография
Өкпе флюоорографиясы профилактикалық мақсатта барлық ересектерге жүргізіледі, туберкулездің , қатерлі

ісіктердің және көкіректегі ісіктердің ерте кезеңнің уақытында анықтау үшін.

ФлюорографияӨкпе флюоорографиясы профилактикалық мақсатта барлық ересектерге жүргізіледі, туберкулездің , қатерлі ісіктердің және көкіректегі ісіктердің ерте кезеңнің уақытында

Слайд 6Бронхография
Бронхтарды көру үшін эндобронхиальді жолмен рентгенконтрастты заттар енгіземіз. Рентгенконтрастты зат

ретінде йодолипол қолданылады— өсімдік маймен органикалық йод қосындысы. Препарат құрамында

29—31% таза йодттан тұрады (рентгенологиялық зерттеу кезінде жеткілікті түрде интенсивті көлеңкелер алу үшін)
БронхографияБронхтарды көру үшін эндобронхиальді жолмен рентгенконтрастты заттар енгіземіз. Рентгенконтрастты зат ретінде йодолипол қолданылады— өсімдік маймен органикалық йод

Слайд 7Сызықты томография
Ағзаның таңдалған кесіндісінде айқын рентгендік суретті алуға мүмкіндік береді.

Кеуде қуысының фронтальды жазықтықта өкпе және көкіректің артқы терең қабаттарың

зерттеуі әдісі.
Сызықты томографияАғзаның таңдалған кесіндісінде айқын рентгендік суретті алуға мүмкіндік береді. Кеуде қуысының фронтальды жазықтықта өкпе және көкіректің

Слайд 8Компьютерлі томография

Компьютерлі томография

Слайд 9Қатаң рентген снимогі
Жұмсақ рентген снимогі

Қатаң рентген снимогіЖұмсақ рентген снимогі

Слайд 10Өкпе бөліктері және сегменттері

Өкпе бөліктері және сегменттері

Слайд 11Бронх анатомиясы

Негізгі бронхтар өкпеде оның бөліктеріне енетін үлкен бронхтарға ажырайды.

Бөліктер ішінде үлкен бронхтар ортаңғы бронхтарға, олар кезеңінде кіші бронхтарға

таралады. Кіші бронхтардың диаметрі 1 мм-дей бөлікшелер іштік жіңішке соңғы тарамдары бронхиолалар деп аталады. Негізгі бронхтан бастап, бронхиолаларға да иін тарамдалуын - бронхиальдік ағаш деп атайды. Бронхиолалар өкпенің газ алмасу бөлімін түзетін өкпе бөлікшелеріне енеді. Өкпе бөлікшелері көпіршіктер жүйесі – альвеолярляқ тарамдардан түзілген. Өкпе бөлікшесі ішінде альвеолярлық бронхиола 20-30 қысқа альвеолярлық өтістерге, олар өз кезектерінде бірнеше альвеолярлық қапшықтарға бөлінеді. Қапшықтардың қабырғалары ұсақ көпіршіктерден тұрады.
Бронх анатомиясыНегізгі бронхтар өкпеде оның бөліктеріне енетін үлкен бронхтарға ажырайды. Бөліктер ішінде үлкен бронхтар ортаңғы бронхтарға, олар

Слайд 12Бір альвеолярлық бронхиоладан таралған альвеолалар жиынтығы өкпенің бірінші бөлікшесін түзеді.

Яғни бұл бөлікше өкпенің құрылым бірлігі болып есептелінеді де, ацинус

деп аталады. Аталған бронхтар мен альвеолярлық тарамдар өкпенің паренхимасын түзеді. Оларды қомақты мүше ретінде біріктіріп тұратын дәнекер ұлпааралық өкпенің стромасын түзеді. Стромамен қоректендіруші қан, лимфа тамырлары, жүйкелер өтеді. Строма коллаген және эластин талшықтарына бай болғандықтан, өкпе өте созылмалы, серпімді келеді.
Бір альвеолярлық бронхиоладан таралған альвеолалар жиынтығы өкпенің бірінші бөлікшесін түзеді. Яғни бұл бөлікше өкпенің құрылым бірлігі болып

Слайд 13Өкпенің рентген анатомиясы
Обзорлы рентгенограммада өкпе қуысының алдыңғы тік проекциясында жоғарғы

5-6 жұп қабырғалары көрінеді. Төмеңгі қабырғалар жартылай немесе толық көкірекорта

көлеңкесімен жасырын. Қабырғалардың алдыңғы ұшы төстен 2-5 см дейінге ара қашықтықта үзіледі, себебі сіңірлер көлеңке бермейді. Кеуде қуысының R-граммасында иық белдеулері (бұғана және жауырын), кеуде қуысының жұмсақ тіндері, сүт бездері және көкірекорта ағзаларының суреті көрінеді.
Өкпенің рентген анатомиясыОбзорлы рентгенограммада өкпе қуысының алдыңғы тік проекциясында жоғарғы 5-6 жұп қабырғалары көрінеді. Төмеңгі қабырғалар жартылай

Слайд 16 Өкпе алаңдары
Жоғарғы – өкпе

ұшынан II қабырғаға дейін;

Ортаңғы – II – IV қабырғаға дейін,

Төмеңгі

– IVқабырғадан диафрагмаға дейін
Өкпе алаңдарыЖоғарғы – өкпе ұшынан II қабырғаға дейін;Ортаңғы – II –

Слайд 17Өкпе түбірлері
Басы (2 қабырға сәйкес), денесі (2 және 3

қабырға арасына сәйкес) және құйрық (3 қабырғадан 4 қабырғаға сәйкес)

бөлімдерден тұрады. Сол жақ өкпе түбірі оң жақ өкпе түбіріне қарағанда жоғары және жүрек- қантамыр көлеңкесімен жабылған, сондықтан оң жақ өкпе түбіріне қарағанда өлшемі кішірек. Өкпе түбірлерінің енді – 1-1,5см құрайды.
Өкпе түбірі көлеңкесін— өкпе артериялары, бронхтар және өкпе веналары құрайды.
Өкпе түбірлері Басы (2 қабырға сәйкес), денесі (2 және 3 қабырға арасына сәйкес) және құйрық (3 қабырғадан

Слайд 18КЕУДЕ ҚУЫСЫНЫҢ ОБЗОРЛЫ РЕНТГЕНОГРАММАСЫНЫҢ ОҚУ ЖОСПАРЫ (СИПАТТАМА СХЕМАСЫ)
1. Снимоктің проекциясы

(алдыңғы немесе артқы тік, оң немесе сол жақ бүйірлік, алдыңғы

немесе артықы қиғаш).  2. Рентгенографияның ерекше шарттары (ауырлық жағдайына байланысты науқас отырған немесе жатқан күйінде).  3. Снимок сапасын бағалу (физико-техникалық сипаттамалары: оптикалық тығыздығы, контрасттылығы, суреттің нақтылығы; артефактардың болмауы).  4. Кеуде қуысы жұмсақ тіндерінің жағдайы (көлемі, құрлымы, бөгде заттардың немесе жарақаттан кейінгі бос газдың болуы).  5. Кеуде қуысы қаңқа сүйектерінің және иық белдеуінің жағдайы (сүйектердің қалпы, формасы, мөлшері және құрлымы: қабырғалары, төс, көрінетін мойын және кеуде омыртқалары, бұғаналар, жауырындар, иық сүйектерінің басы, жасөспірімдердегі және балалардағы өсу зонасы және сүйектену ядросының жағдайы).  6. Өкпе алаңдарың салыстырмалы бағалау (аумақ, формасы, тұнықтығы). Патология симптомдары табылған жағдайда (жайылған немесе шектелген ағару немесе қараюлар, ошақтар, домалақ және сақина тәрізді көлеңкелер) олардың орналасуына, формасына, пішініне, көлеңке тығыздығына, құрлымына, контурына толық сипаттама беріледі. 7. Өкпе суреті жағдайы (элементтердің бөлінуіне, архитектоникасына, калибріне, контурларына сипаттама).  8. Өкпе түбірі жағдайы (орналасуы, формасы, мөлшері, элементтердің контуры, қосымша түзілістердің болуы). 9. Көкірекорта жағдайы (орналасуы, формасы, және жалпы еніне, жеке ағзалардың сипаты). 10. Рентгенологиялық (клинико-рентгенологиялық) ұйғарым.  11. Ұсыныстар. 
КЕУДЕ ҚУЫСЫНЫҢ ОБЗОРЛЫ РЕНТГЕНОГРАММАСЫНЫҢ ОҚУ ЖОСПАРЫ (СИПАТТАМА СХЕМАСЫ)  1. Снимоктің проекциясы (алдыңғы немесе артқы тік, оң

Слайд 19Көлеңкелердің сегіз белгілері
ПО- көлеңкелердің орналасуы (положение тени)
ЧИ- көлеңкелердің саны (число

теней)
ФО- көлеңкелердің формасы (форма теней)
ИН- көлеңкелердің интенсивтілігі (интенсивность тени)
РИ- көлеңкелердің

суреті (рисунок тени)
КО- көлеңкелердің контуры (контуры тени)
С- көлеңкелердің ығысуы (смещаемость тени)

Көлеңкелердің сегіз белгілеріПО- көлеңкелердің орналасуы (положение тени)ЧИ- көлеңкелердің саны (число теней)ФО- көлеңкелердің формасы (форма теней)ИН- көлеңкелердің интенсивтілігі

Слайд 20Өкпенің қалыпты рентгенографиясы

Өкпенің қалыпты рентгенографиясы

Слайд 21Рентгенсемиотика
Ағару синдромы
Қараю синдромы

Рентгенсемиотика Ағару синдромы Қараю синдромы

Слайд 22Өкпе ауруларының рентгенологиялық синдромдары
1. Қараю синдромы
Жайылған қараю
Шектелген қараю
2.

Дөңгелектенген көлеңке синдромы
3. Диссеминация
Шектелген диссеминация
Диффузды диссеминация
4. Ошақтық көлеңке синдромы
5. Өкпе

түбірінің патологиялық өзгеріс синдромы
6. Өкпе суретітің патологиялық өзгеріс синдромы
7. Сақина тәрізді көлеңке синдромы
8.Ағару синдромы
9. Бронхиальді өткізгіштіктің бұзылу синдромы



Өкпе ауруларының рентгенологиялық синдромдары 1. Қараю синдромы Жайылған қараюШектелген қараю2. Дөңгелектенген көлеңке синдромы3. ДиссеминацияШектелген диссеминацияДиффузды диссеминация4. Ошақтық

Слайд 23Рентгенологиялық синдромдар

Рентгенологиялық синдромдар

Слайд 24Қараю синдромы
Өкпенің ауалы тінінің патологиялық субстратқа ауыстырылуы:
Ателектаз
Пневмония
Ісік




Қараю синдромы Өкпенің ауалы тінінің патологиялық субстратқа ауыстырылуы:АтелектазПневмония Ісік

Слайд 25Ателектаз
Өкпе ателектазы — бұл патологиялық жағдай, барлық өкпе немесе

оның бір бөлігінің құлдырауы және газалмасу процессінің жұмыс істеуінің тоқтатылыуы.

Бұл ауру негізінде бронх өткізгіштігінің бұзылысы оның қуысының жабылуымен (мысалы, қақырықпен тығындалуы, бөгде затпен жабылуы) немесе өкпемен қысылуы сипатталады
Ателектаз Өкпе ателектазы — бұл патологиялық жағдай, барлық өкпе немесе оның бір бөлігінің құлдырауы және газалмасу процессінің

Слайд 26
Түрлері – обтурационды және  компрессионды өкпе ателектазы.


Обтурационды – ауа өткізгіштігінің бронх

қуысындағы қысылуымен көрінетін бұзылыс (мысалы, қақырықпен тығындалуы, бөгде затпен жабылуы).


Компрессионды – Өкпемен қысылуына байланысты (мысалы, плевра қуысына түскен сұйықтық немесе ауамен)

Түрлері – обтурационды және  компрессионды өкпе ателектазы. Обтурационды – ауа өткізгіштігінің бронх қуысындағы қысылуымен көрінетін бұзылыс (мысалы, қақырықпен

Слайд 27Ателектаз

Ателектаз

Слайд 28Пневмония

Пневмония – өкпенің жедел инфекциялы-қабынулық ауруы. Өкпе тінінің барлық құрлымдық элементтерінің

зақымдалуымен жүреді.

ПневмонияПневмония – өкпенің жедел инфекциялы-қабынулық ауруы. Өкпе тінінің барлық құрлымдық элементтерінің зақымдалуымен жүреді.

Слайд 29Пневмония классификациясы
1. Пневмонияның эпидемиологиялық негізінде:
Ауруханадан тыс
Аурухана ішілік
Иммунодефицитті жағдаймен шақырылғанда
Атипикалық ағыммен

2. Пневмонияның этиологиялық факторларына байланысты:
Бактериальды
Вирусты
Микоплазмаллық
Саңырауқұлақты
Аралас



Пневмония классификациясы1. Пневмонияның эпидемиологиялық негізінде:Ауруханадан тысАурухана ішілікИммунодефицитті жағдаймен шақырылғандаАтипикалық ағыммен 2. Пневмонияның этиологиялық факторларына байланысты:БактериальдыВирустыМикоплазмаллықСаңырауқұлақтыАралас

Слайд 303. Пнемонияның жарақаттауына байланысты:
Бір жақты (оң немесе сол жақ өкпенің

зақымдануымен)
Екі жақтылы
Тотльді, бөліктік, сегментарлы, түбір аймақтық (орталық)
4.Пневмония ағымына байланысты:
Жедел
Созылмалы
5. Пневмонияның

клинико-морфологиялық сипатына байланысты:
Паренхиматозды (крупозды немесе бөліктік)
Ошақты (бронхопневмония, бөлшектік пневмония)
Интерстициальды (көбінесе микоплазмалық зақымдану кезінде)



3. Пнемонияның жарақаттауына байланысты:Бір жақты (оң немесе сол жақ өкпенің зақымдануымен)Екі жақтылыТотльді, бөліктік, сегментарлы, түбір аймақтық (орталық)4.Пневмония

Слайд 31Пневмония

Пневмония

Слайд 34Дөңгелектенген көлеңке синдромы
Бұл синдром тек көлеңкенің диаметрі 1 см-ден артық

болған жағдайда ғана кіргізіледі.
Киста
Қалталанған плеврит

Дөңгелектенген көлеңке синдромыБұл синдром тек көлеңкенің диаметрі 1 см-ден артық болған жағдайда ғана кіргізіледі.КистаҚалталанған плеврит

Слайд 35Киста

Киста

Слайд 36Қалталанған плеврит

Қалталанған плеврит

Слайд 37Өкпенің қатерлі ісігі
Өкпенің қатерлі ісігі әртүрлі калибрлі бронх және эпителиальді

тіннен тұрады. Орындарына байланысты бөлінеді:
Орталық
Перифериялық
Массивті (аралас)

Өкпенің қатерлі ісігіӨкпенің қатерлі ісігі әртүрлі калибрлі бронх және эпителиальді тіннен тұрады. Орындарына байланысты бөлінеді:ОрталықПерифериялықМассивті (аралас)

Слайд 38Өкпе ісігі

Өкпе ісігі

Слайд 39Ошақты көлеңке синдромы және шектелген диссеминация
Кіші дөңгелекті немесе әртүрі формалы

0,1 - 1см-ге дейінгі көлеңкені ошақ деп атаймыз.
Ошақтар әртүрлі

өкпе зақымдануларында кездеседі, сондықтан олардың субстраты әртүрлі процесстер болуы мүмкін:
Ошақты қабынулар
Ісіктік түйіндер
Қан құюлар
Ұсақ ателектаздар
Ісіну аймақтары
Туберкулезді (жиі кездеседі)

Ошақты көлеңке синдромы және шектелген диссеминацияКіші дөңгелекті немесе әртүрі формалы 0,1 - 1см-ге дейінгі көлеңкені ошақ деп

Слайд 40Ошақтың орналасуы:
Бір- немесе екіжақтылы
Өкпе алаңының жоғарғы, ортаңғы немесе төмеңгі бөлігінде
Ошақтардың

динамикасы:
Тұрақтылығы
Инфильтраттарға қосылуы
Кейіннен ыдырауы
Кеңістікттегі түзіліс
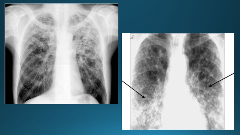
Өкпе алаңдарыңдағы жайылған диссеминация ошақтары
Ошақтың мөлшері:
Милиарлы (1-2мм)
Ұсақ

(3-4мм)
Орташа (5-8мм)
Ірі (9-12мм)
Клиникалық көрінісі:
Жойылған немесе «үнсіз»
Аурудың басталуы:
Жедел
Біртіндеп
Клиникалық көрінісі жоқ

Ошақтың орналасуы:Бір- немесе екіжақтылыӨкпе алаңының жоғарғы, ортаңғы немесе төмеңгі бөлігіндеОшақтардың динамикасы:ТұрақтылығыИнфильтраттарға қосылуыКейіннен ыдырауыКеңістікттегі түзілісӨкпе алаңдарыңдағы жайылған диссеминация

Слайд 41Диссиминация схемасы

Диссиминация схемасы

Слайд 44Өкпе түбірінің патологиялық өзгеріс синдромы
Бұл науқас рентгенограммасында өкпе түбірінің өзгерісі,

кеудеішілік лимфа түйін туберкулезіне сәйкес.

Өкпе түбірінің патологиялық өзгеріс синдромыБұл науқас рентгенограммасында өкпе түбірінің өзгерісі, кеудеішілік лимфа түйін туберкулезіне сәйкес.

Слайд 46Өкпе суретінің патологиялық өзгеріс синдромы
Бұл рентгенограммада өкпе суретінің күшеюі.

Өкпе суретінің патологиялық өзгеріс синдромыБұл рентгенограммада өкпе суретінің күшеюі.

Слайд 47Рентгенограмманың ұлғайтылған фрагменті (оң жақ түбір аймағы). Созылмалы бронхит кезіндегі

өкпе суретінің диффузды күшеюі және «торлануы».

Рентгенограмманың ұлғайтылған фрагменті (оң жақ түбір аймағы). Созылмалы бронхит кезіндегі өкпе суретінің диффузды күшеюі және «торлануы».

Слайд 48Темекі шегетін науқастың өкпе рентгенограммасы қалыңдаған аймақтар мен өкпе суретінің

күшеюі.
Өкпе артерия бұтақтарының ангиографиясы

Темекі шегетін науқастың өкпе рентгенограммасы қалыңдаған аймақтар мен өкпе суретінің күшеюі. Өкпе артерия бұтақтарының ангиографиясы

Слайд 49Сақина тәрізді көлеңке синдромы

Сақина тәрізді көлеңке синдромы

Слайд 50Пневмоторакс
Плевра қуысына газдың жиналуы, өкпе тінінің құлдырауына, көкірекортаның сау жаққа

ығысуымен, көкірекорта қан тамырларының қысылуымен, диафрагма куполының түсуімен жүретін патологиялық

процесс. Ол тыныс алу және қанайналым функциясының бұзылысына әкеледі.
ПневмотораксПлевра қуысына газдың жиналуы, өкпе тінінің құлдырауына, көкірекортаның сау жаққа ығысуымен, көкірекорта қан тамырларының қысылуымен, диафрагма куполының

Слайд 511. Кеуде қуысының немесе өкпенің механикалық жарақаты:
Кеуда қуысының жабық жарақаты

(қабырға сынықтарымен зақымдалуы)
Кеуде қуысының ашық жарақаты (сырттан енетін жарақат);
Жасанды пневмоторакс

–өкпе туберкулезі емі мақсатында қолданылатын пневматоракс (торакоскопиямен жүргізіледі).
2. Өкпе және кеуде қуысы ағзаларының аурулары:
Бейспецификалық сипатта – өкпенің буллезды ауруында (эмфизема) ауалы кисталардың жарылу салдарынан, өкпе абсцессінің плевра қуысына шығуы (пиопневмоторакс), өңештің кенеттен жарылуы.
Спецификалық сипатта – туберкулез кезінде казеозды ошақтардың, каверналар жарылуы себептерінен болатын пневмоторакс.

1. Кеуде қуысының немесе өкпенің механикалық жарақаты:Кеуда қуысының жабық жарақаты (қабырға сынықтарымен зақымдалуы)Кеуде қуысының ашық жарақаты (сырттан

Слайд 52Ағару синдромы

Ағару синдромы

Слайд 55Өкпенің буллезді ауруы

Өкпенің буллезді ауруы

Слайд 56Бронхиальді өткізгіштіктің бұзылу синдромы
Бронхиальді өткізгіштіктің бұзылу себептері:
а). Бөгде зат
б). Шырышты

қабаттың ісінуі
в). Ұлғайған лимфа түйінімен бронхтың қысылуы
г). Эндобронхиалыді ісік


Бронхиальді өткізгіштіктің бұзылу синдромыБронхиальді өткізгіштіктің бұзылу себептері:а). Бөгде затб). Шырышты қабаттың ісінуі в). Ұлғайған лимфа түйінімен бронхтың

Слайд 57Бронхография
 қалыпты бронхограмма, бронхтардың жоғарғы-, ортаңғы- және төмеңгі бөліктері анық көрінеді.


Бронхтардың 3- d реконструкциясы

Бронхография қалыпты бронхограмма, бронхтардың жоғарғы-, ортаңғы- және төмеңгі бөліктері анық көрінеді. Бронхтардың 3- d реконструкциясы

Слайд 58 Бронхограммадағы бронхтардың патологиялық өзгерістері
Бронхограмма: қап тәрізді бронхоэктазы.

Бронхограммадағы бронхтардың патологиялық өзгерістеріБронхограмма: қап тәрізді бронхоэктазы.

Слайд 59Оң жақ негізгі бронхта бөгде зат

Оң жақ негізгі бронхта бөгде зат

Слайд 60Оң жақ негізігі бронхтағы бөгде зат (металлды пружина):

Оң жақ негізігі бронхтағы бөгде зат (металлды пружина):

Слайд 61Өкпе туберкулезі
Өкпе туберкулезі – ең жиі кездесетін жалпы инфекциялық, туберкулезді

микобактерия (Кох таяқшалары) қоздырғышымен шақырылатын ауру . Туберкулездің негізгі клиникалық

формасы болып табылады: • Балаларда және жасөспірімдердегі туберкулезді интоксикация.
Өкпе туберкулезіӨкпе туберкулезі – ең жиі кездесетін жалпы инфекциялық, туберкулезді микобактерия (Кох таяқшалары) қоздырғышымен шақырылатын ауру .

Слайд 62Тыныс ағзаларының туберкулез классификациясы
Біріншілік туберкулезді коплекс;
Кеудеішілік лимфа түйіндерінің туберкулезі;
Өкпенің

диссеминирленген туберкулезі;
Өкпенің милиарлы туберкулезі;
Өкпенің ошақты туберкулезі;
Өкпенің инфильтративті туберкулезі;
Казеозды пневмония;
Туберкулема;
Кавернозды туберкулез;
Фиброзды-кавернозды

туберкулез;
Цирротикалық туберкулез;
Туберкулезді плеврит;

Тыныс ағзаларының туберкулез классификациясыБіріншілік туберкулезді коплекс;Кеудеішілік лимфа түйіндерінің туберкулезі; Өкпенің диссеминирленген туберкулезі;Өкпенің милиарлы туберкулезі;Өкпенің ошақты туберкулезі;Өкпенің инфильтративті

Обратная связь

Если не удалось найти и скачать доклад-презентацию, Вы можете заказать его на нашем сайте. Мы постараемся найти нужный Вам материал и отправим по электронной почте. Не стесняйтесь обращаться к нам, если у вас возникли вопросы или пожелания:

Email: Нажмите что бы посмотреть 

Что такое TheSlide.ru?

Это сайт презентации, докладов, проектов в PowerPoint. Здесь удобно  хранить и делиться своими презентациями с другими пользователями.


Для правообладателей

Яндекс.Метрика